Table of Contents
Washington University Experience | PERIPHERAL NEUROPATHY | 0 PNS ARTIFACTS | 16B1 Artifact EM_021 - Copy
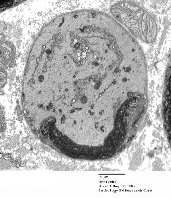
16B1-5 The “half myelin” artifact is associated with protruding invagination of thin processes from the axolemma. We wondered if this was the same process as the Schwannian honeycombs of Asbury and Johnson in which abnormal axonal organelles are sequestered/phagocytosed from the axoplasm by Schwann cell processes. The axoplasm appears to contain filamentous organelles. (electron micrographs)
