Table of Contents
Washington University Experience | PERIPHERAL NEUROPATHY | 0 PNS ARTIFACTS | 16B2 Artifact EM_023 - Copy
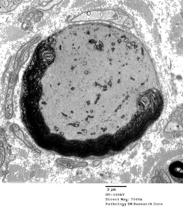
The “half myelin” artifact is associated with protruding invagination of thin processes from the axolemma. (electron micrograph)
