Table of Contents



Washington University Experience | PERIPHERAL NEUROPATHY | 0 PNS ARTIFACTS | 16B3 Artifact EM_025 - Copy

16B3 Artifact EM_025 - Copy
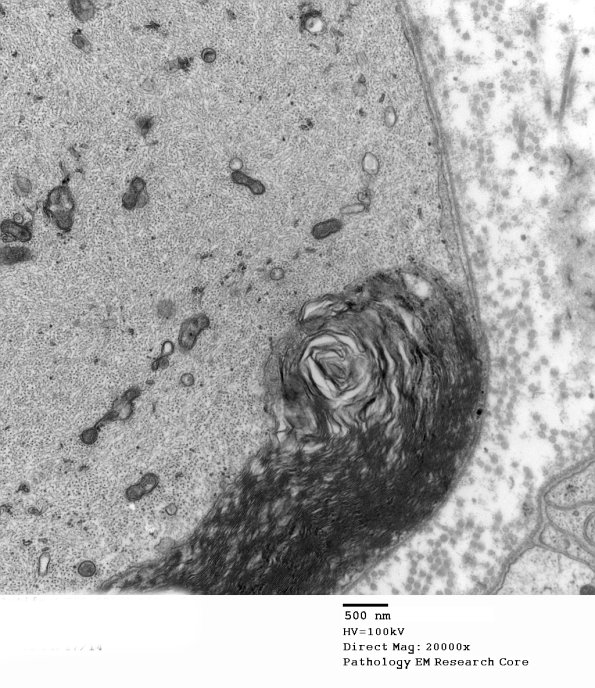
Higher magnification of image #16B2. (electron micrograph)


Gallery RSS RSS Feed | Archive View | Login | Powered by Zenphoto