Table of Contents



Washington University Experience | PERIPHERAL NEUROPATHY | 0 PNS ARTIFACTS | 16D1 Axonal Degeneration EM 015 - Copy

16D1 Axonal Degeneration EM 015 - Copy
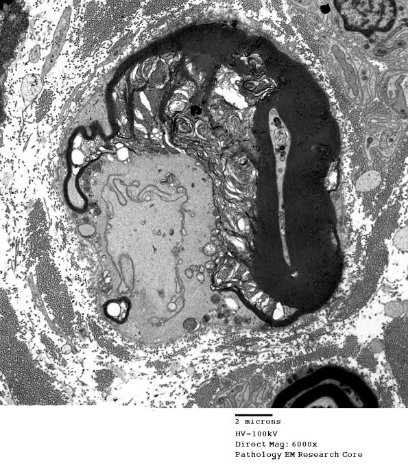
16D1,2 Half myelin artifact with protruding delicate processes. (electron micrograph)


Gallery RSS RSS Feed | Archive View | Login | Powered by Zenphoto