Table of Contents



Washington University Experience | PERIPHERAL NEUROPATHY | 0 PNS ARTIFACTS | 16D2 Axonal Degeneration EM 020 - Copy

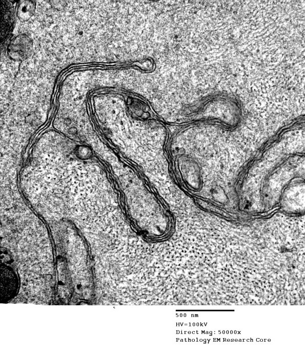
16D2 Axonal Degeneration EM 020 - Copy
Higher magnification of image #16D1. (electron micrograph)


Gallery RSS RSS Feed | Archive View | Login | Powered by Zenphoto