Table of Contents



Washington University Experience | PERIPHERAL NEUROPATHY | 0 PNS ARTIFACTS | 16E1 HNPP EM_058 - Copy

16E1 HNPP EM_058 - Copy
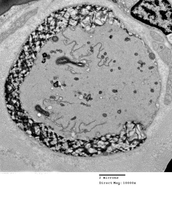
16E1,2 This shows several different patterns of myelinopathy as well as intra-axonal processes. (electron micrographs)


Gallery RSS RSS Feed | Archive View | Login | Powered by Zenphoto