Table of Contents
Washington University Experience | PERIPHERAL NEUROPATHY | 0 PNS ARTIFACTS | 16F1 Axonal Degeneration, Honeycomb Pattern 020 - Copy
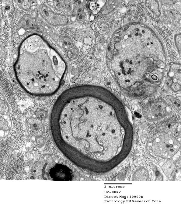
16F1,2 Invaginating processes are also present in some cases of actual axonal degeneration and demyelination. This represents another pathologic finding which is found in both artifact and genuine pathology. (electron micrographs)
