Table of Contents
Washington University Experience | PERIPHERAL NEUROPATHY | 0 PNS ARTIFACTS | 16F2 Axonal Degeneration, Honeycomb Pattern (S89-13479) 033 - Copy
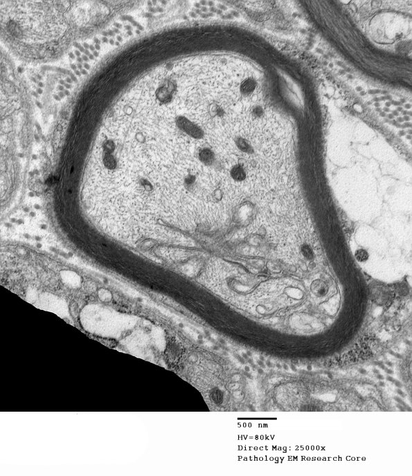
Invaginating processes are also present in some cases of actual axonal degeneration and demyelination. This represents another pathologic finding which is found in both artifact and genuine pathology. (electron micrographs)
