Table of Contents



Washington University Experience | PERIPHERAL NEUROPATHY | 0 PNS ARTIFACTS | 16H2 EM_023 - Copy

16H2 EM_023 - Copy
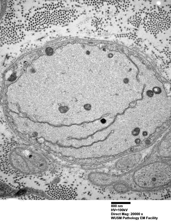
These processes do not seem to represent a simple artifact. Note filamentous structures. (electron micrograph)


Gallery RSS RSS Feed | Archive View | Login | Powered by Zenphoto