Table of Contents
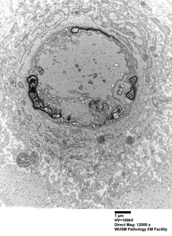
Washington University Experience | PERIPHERAL NEUROPATHY | 0 PNS ARTIFACTS | 16I1 AIN_055 - Copy
16I1,2 In these axons the intra-axonal process appears similar; however, what are the proliferative membranes exterior to the axon borders? (electron micrographs)
