Table of Contents
Washington University Experience | PERIPHERAL NEUROPATHY | 0 PNS ARTIFACTS | 16I2 AIN_058 - Copy
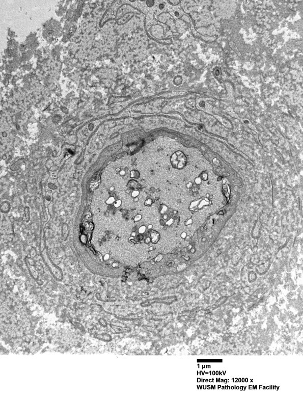
In this axon the intra-axonal process appears similar; however, what are the proliferative membranes exterior to the axon borders? (electron micrograph)
