Table of Contents
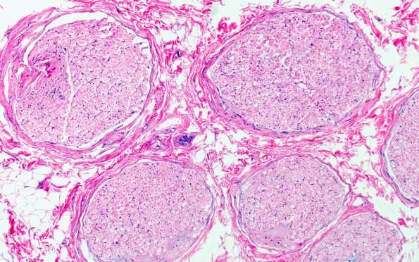
Washington University Experience | PERIPHERAL NEUROPATHY | 0 PNS ARTIFACTS | 17C1 Artifact, vesicular myelin, 6 days unfixed on wet gauze H&E 10X 5
17C1-5 These fascicles are all involved as might be expected in a global not focal process such as crush injury. They resemble both crush injury as well as onion-bulbs. (H&E)
