Table of Contents
« prev
next »
Washington University Experience
|
PERIPHERAL NEUROPATHY
|
0 PNS ARTIFACTS
|
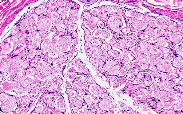
17C4 Artifact, vesicular myelin, 6 days unfixed on wet gauze H&E 40X 3
Higher magnification of image #17C1 (H&E)
Image Info
Camera Maker:
Olympus
Camera Model:
DP74 #1
Shutter Speed:
36/7045 sec
Metering Mode:
Multi-Spot
Gallery RSS
|
Archive View
|
Login
|
Powered by
Zenphoto