Table of Contents
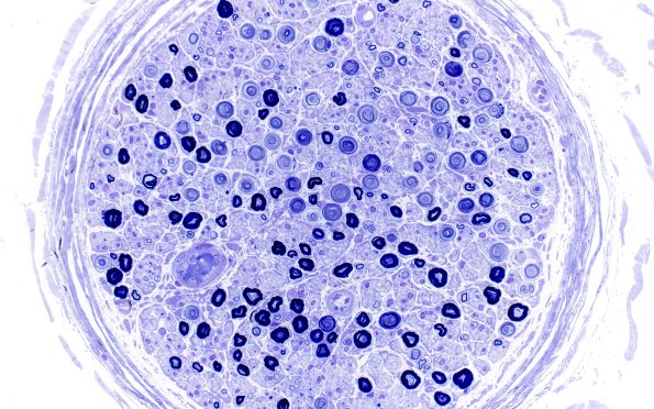
Washington University Experience | PERIPHERAL NEUROPATHY | 0 PNS ARTIFACTS | 18A1 Artifact, crush Plastic deeper (40X)
18A1,2 This fascicle has both crush artifact and vesicular myelin change. (Toluidine blue stained one micron thick plastic embedded sections)
