Table of Contents
Washington University Experience | PERIPHERAL NEUROPATHY | 0 PNS ARTIFACTS | 18A2 Artifact, crush Plastic 3 (60X)
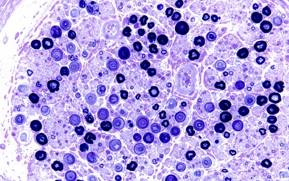
This fascicle has both crush artifact and vesicular myelin change. (Toluidine blue stained one micron thick plastic embedded sections)
