Table of Contents
Washington University Experience | PERIPHERAL NEUROPATHY | 0 PNS ARTIFACTS | 18C1 Artifact, delayed fixation -1
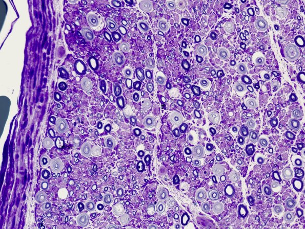
18C1-3 The background metachromasia and pale vesicular myelin produce a striking effect. (Toluidine blue stained one micron thick plastic embedded sections)
