Table of Contents



Washington University Experience | PERIPHERAL NEUROPATHY | 0 PNS ARTIFACTS | 18C2 Artifact, delayed fixation -2A

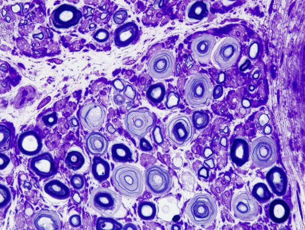
18C2 Artifact, delayed fixation -2A
Higher magnification of image #18C1. (Toluidine blue stained one micron thick plastic embedded sections)


Gallery RSS RSS Feed | Archive View | Login | Powered by Zenphoto