Table of Contents



Washington University Experience | PERIPHERAL NEUROPATHY | 0 PNS ARTIFACTS | 18D2 Artifact, delayed fixation Plastic 2

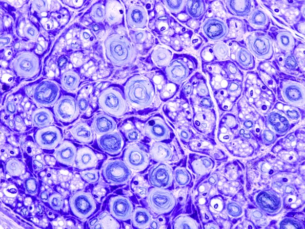
18D2 Artifact, delayed fixation Plastic 2
Higher magnification of image #18D1. (Toluidine blue stained one micron thick plastic embedded sections)


Gallery RSS RSS Feed | Archive View | Login | Powered by Zenphoto