Table of Contents
« prev
next »
Washington University Experience
|
PERIPHERAL NEUROPATHY
|
0 PNS ARTIFACTS
|
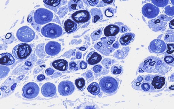
18E2 Vesicular Myelin Plastic 1
Higher magnification of image #18E1.(Toluidine blue stained one micron thick plastic embedded sections)
Image Info
Camera Maker:
Olympus
Camera Model:
DP74
Shutter Speed:
42/1123 sec
Metering Mode:
Average
Gallery RSS
|
Archive View
|
Login
|
Powered by
Zenphoto