Table of Contents
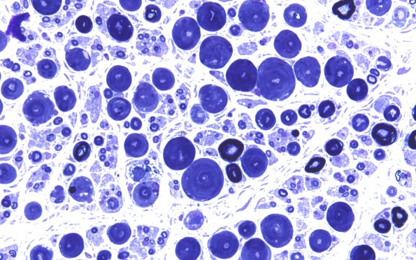
Washington University Experience | PERIPHERAL NEUROPATHY | 0 PNS ARTIFACTS | 18F1 Artifact, vesicular myelin Plastic 2A
18F1,2 Additional examples of vesicular myelin artifact. (Toluidine blue stained one micron thick plastic embedded sections)
