Table of Contents
Washington University Experience | PERIPHERAL NEUROPATHY | 0 PNS ARTIFACTS | 18F2 Artifact, vesicular myelin Plastic 5
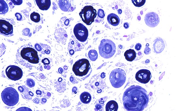
Additional examples of vesicular myelin artifact. (Toluidine blue stained one micron thick plastic embedded sections)
