Table of Contents
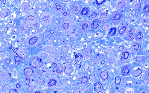
Washington University Experience | PERIPHERAL NEUROPATHY | 0 PNS ARTIFACTS | 18G1 Vesicular Myelin Change Artifact Plastic 100X 3
18G1-3 In this case a number of small myelinated axons are also involved by vesicular myelin artifact.
