Table of Contents
Washington University Experience | PERIPHERAL NEUROPATHY | 0 PNS ARTIFACTS | 19A1 Vesicular myelin artifact EM 004 - Copy
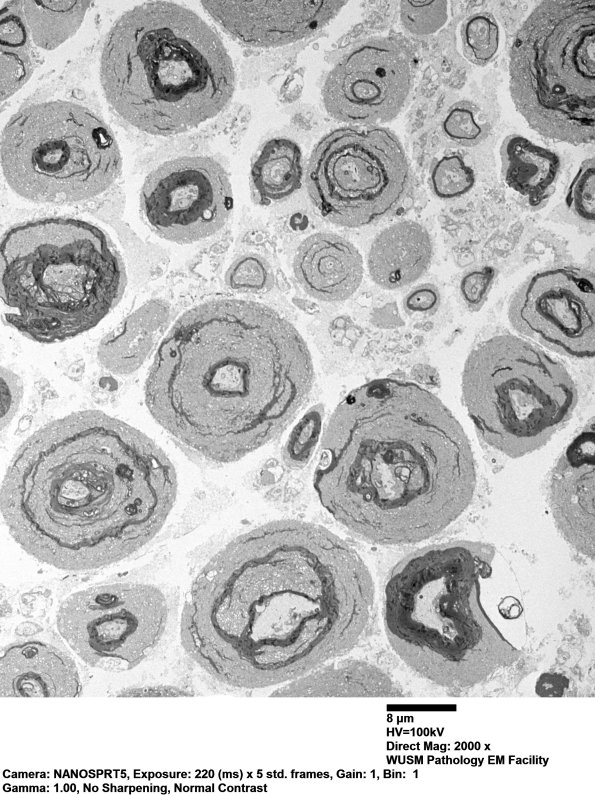
19 A-F Myelin can sometimes disintegrate around an apparently intact axon through splitting at the major dense line, creating a net-like pattern of 80 nm vesicles. This pattern can be seen as an artifact of delayed fixation and in other settings (axonal degeneration) as part of myelin degeneration. ---- 19A1,2 In these low magnification images, the extent of axonal involvement clearly shows that small myelinated axons are also involved by the process. (electron micrographs)
