Table of Contents
Washington University Experience | PERIPHERAL NEUROPATHY | 0 PNS ARTIFACTS | 19A2 Vesicular myelin artifact EM 011 - Copy
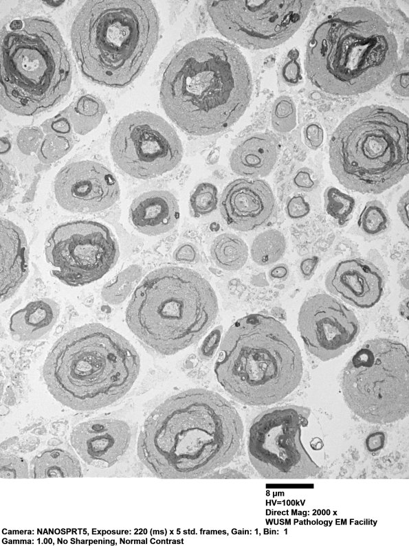
In these low magnification images, the extent of axonal involvement clearly shows that small myelinated axons are also involved by the process. (electron micrographs)
