Table of Contents



Washington University Experience | PERIPHERAL NEUROPATHY | 0 PNS ARTIFACTS | 19A3 vesicular myelin artifact EM 002 - Copy

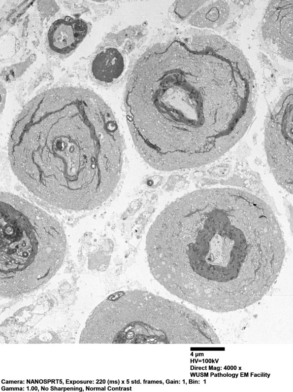
19A3 vesicular myelin artifact EM 002 - Copy
19A3,4 Dark patches represent mostly well preserved myelin. (electron micrographs)


Gallery RSS RSS Feed | Archive View | Login | Powered by Zenphoto