Table of Contents
Washington University Experience | PERIPHERAL NEUROPATHY | 0 PNS ARTIFACTS | 19B10 Artifact, vesicular myelin EM 062 - Copy
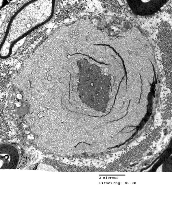
19B10,11 The axon in the center of this abnormal myelin collection is more dense than expected. (electron micrograph)
