Table of Contents
Washington University Experience | PERIPHERAL NEUROPATHY | 0 PNS ARTIFACTS | 19B11 Artifact, vesicular myelin EM 068 - Copy
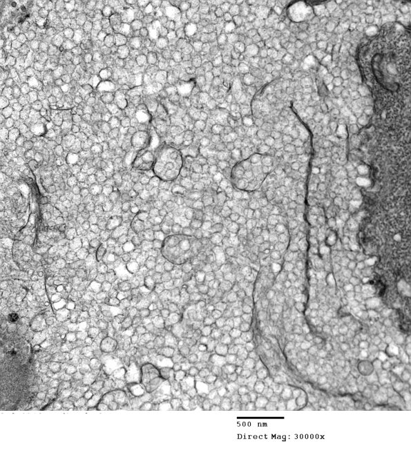
The axon in the center of this abnormal myelin collection is more dense than expected but surrounded by myelin vesicles of multiple sizes. (electron micrograph)
