Table of Contents



Washington University Experience | PERIPHERAL NEUROPATHY | 0 PNS ARTIFACTS | 19B4 Artifact, vesicular myelin EM 036 - Copy

19B4 Artifact, vesicular myelin EM 036 - Copy
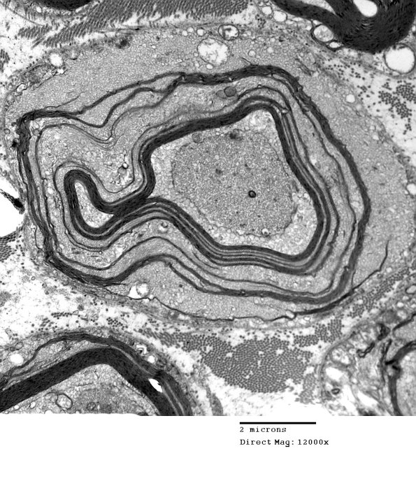
19B4-6 An exceptional well preserved axon shows the unusual myelin abnormalities. (electron micrograph)


Gallery RSS RSS Feed | Archive View | Login | Powered by Zenphoto