Table of Contents
Washington University Experience | PERIPHERAL NEUROPATHY | 0 PNS ARTIFACTS | 19C1 Artifact, vesicular myelin, spinal root EM 021A - Copy
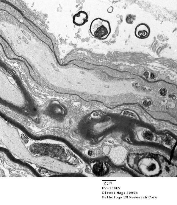
19C1-3 There is a similar abnormality extending along this longitudinally oriented axon. (electron micrograph)
