Table of Contents



Washington University Experience | PERIPHERAL NEUROPATHY | 0 PNS ARTIFACTS | 19C2 Artifact, vesicular myelin, spinal root EM 023A - Copy

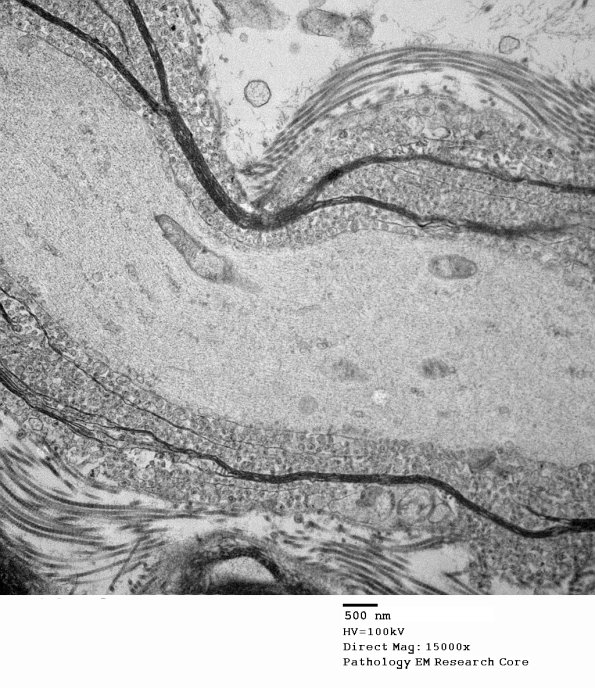
19C2 Artifact, vesicular myelin, spinal root EM 023A - Copy
Higher magnification of image #19C1. (electron micrograph)


Gallery RSS RSS Feed | Archive View | Login | Powered by Zenphoto