Table of Contents



Washington University Experience | PERIPHERAL NEUROPATHY | 0 PNS ARTIFACTS | 19C4 Artifact, vesicular myelin, spinal root EM 030A - Copy

19C4 Artifact, vesicular myelin, spinal root EM 030A - Copy
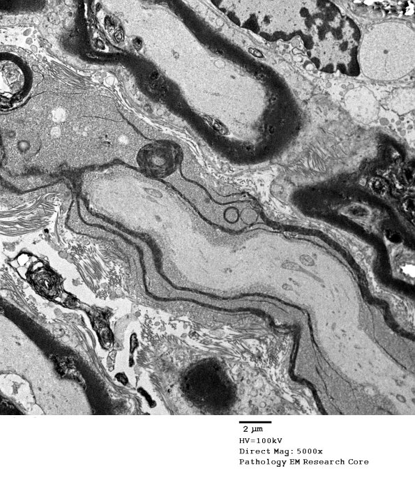
19C4-7 A second axon seen in longitudinal section. (electron micrograph)


Gallery RSS RSS Feed | Archive View | Login | Powered by Zenphoto