Table of Contents



Washington University Experience | PERIPHERAL NEUROPATHY | 0 PNS ARTIFACTS | 19D2 EM_025 - Copy

19D2 EM_025 - Copy
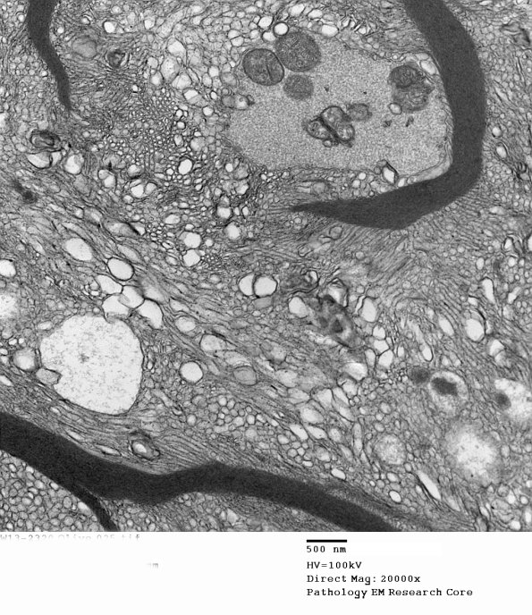
Higher magnification of image #19D1. (electron micrograph)


Gallery RSS RSS Feed | Archive View | Login | Powered by Zenphoto