Table of Contents



Washington University Experience | PERIPHERAL NEUROPATHY | 0 PNS ARTIFACTS | 19E1 Artifact, myelin EM 005 - Copy

19E1 Artifact, myelin EM 005 - Copy
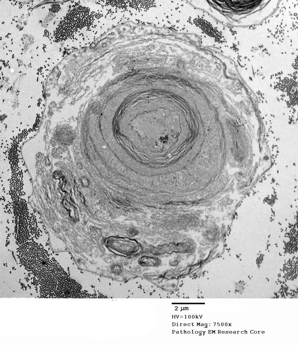
19E1-3 The pattern varies from axon to axon in the same nerve. (electron micrograph)


Gallery RSS RSS Feed | Archive View | Login | Powered by Zenphoto