Table of Contents
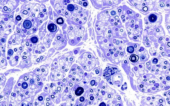
Washington University Experience | PERIPHERAL NEUROPATHY | 0 PNS ARTIFACTS | 1B Neuropathy Vacuolated Plastic 100X 4
In this case the extensive involvement of both Schwann cell cytoplasm of small myelinated and unmyelinated axons suggests an artificial process. (Toluidine blue stained one micron thick plastic embedded sections)
