Table of Contents
Washington University Experience | PERIPHERAL NEUROPATHY | 0 PNS ARTIFACTS | 20A1 Artifact, delayed fixation (Case 20) 40X 1
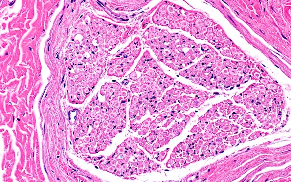
Case 20 History ---- This patient was a 71 year old woman who was dead for an unknown period of time before she was found. At autopsy, she was undergoing extreme decomposition with skin slippage, marbling and gaseous bloating. The sciatic nerve was removed and processed to characterize a suspected neuropathy. ---- 20A1,2 These H&E stained sections of the sciatic nerve show numerous unusual axons which bear a superficial appearance to onion bulbs. (H&E)
