Table of Contents
« prev
next »
Washington University Experience
|
PERIPHERAL NEUROPATHY
|
0 PNS ARTIFACTS
|
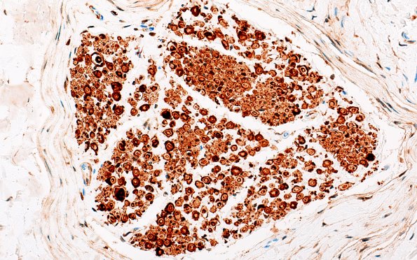
20B1 Artifact, delayed fixation (Case 20) S100 40X 1
20B1,2 S100 immunoreactivity appear to demonstrate multiple Schwann cell lamellae. (S100 IHC)
Image Info
Camera Maker:
Olympus
Camera Model:
DP74
Shutter Speed:
25/2451 sec
Metering Mode:
Multi-Spot
Gallery RSS
|
Archive View
|
Login
|
Powered by
Zenphoto