Table of Contents
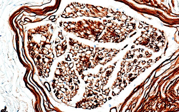
Washington University Experience | PERIPHERAL NEUROPATHY | 0 PNS ARTIFACTS | 20C1 Artifact, delayed fixation (Case 20) Coll IV 40X 1
20C1,2 Staining with collagen IV labels the most external portion of the myelinated axons. (Coll IV IHC)
