Table of Contents
Washington University Experience | PERIPHERAL NEUROPATHY | 0 PNS ARTIFACTS | 20D1 (Case 20) 20X
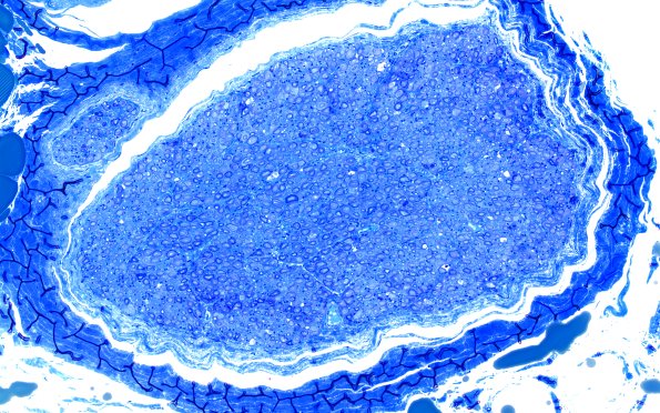
20D1-3 Plastic sections have an unusual appearance with the great majority of myelinated axons exhibiting the vesicular myelin change which, in this case as an artifact of delayed fixation, would be expected. (Plastic sections)
