Table of Contents



Washington University Experience | PERIPHERAL NEUROPATHY | 0 PNS ARTIFACTS | 20E5 (Case 20) Sciatic_024 - Copy

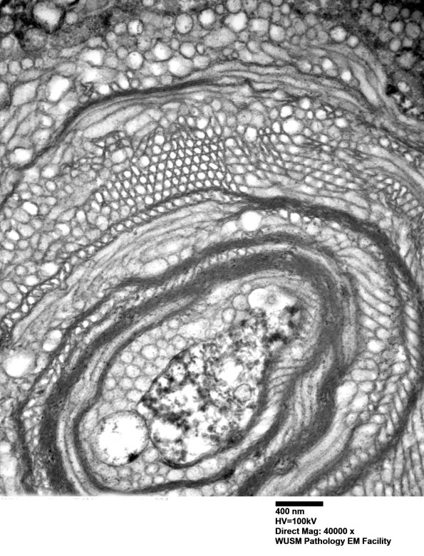
20E5 (Case 20) Sciatic_024 - Copy
Two magnifications of an axon undergoing vesicular myelin change and axonal degradation. (electron micrographs)


Gallery RSS RSS Feed | Archive View | Login | Powered by Zenphoto