Table of Contents
Washington University Experience | PERIPHERAL NEUROPATHY | 0 PNS ARTIFACTS | 2A1 EM_031 - Copy
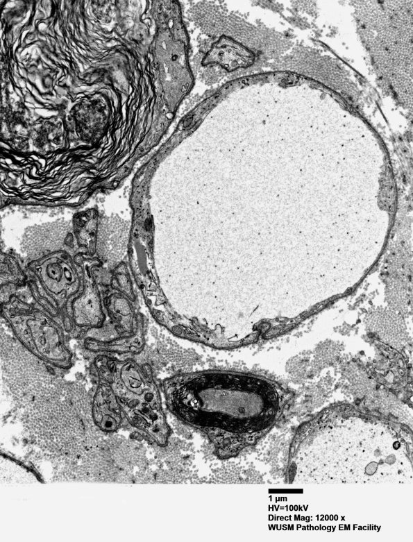
Ultrastructural examination shows that such artifactual “demyelinated axons” fail to have a sharp border with the Schwann cell cytoplasm and also fail to exhibit the cytoskeletal elements expected of an axon. (electron micrograph)
