Table of Contents
Washington University Experience | PERIPHERAL NEUROPATHY | 0 PNS ARTIFACTS | 2B1 EM 027 - Copy
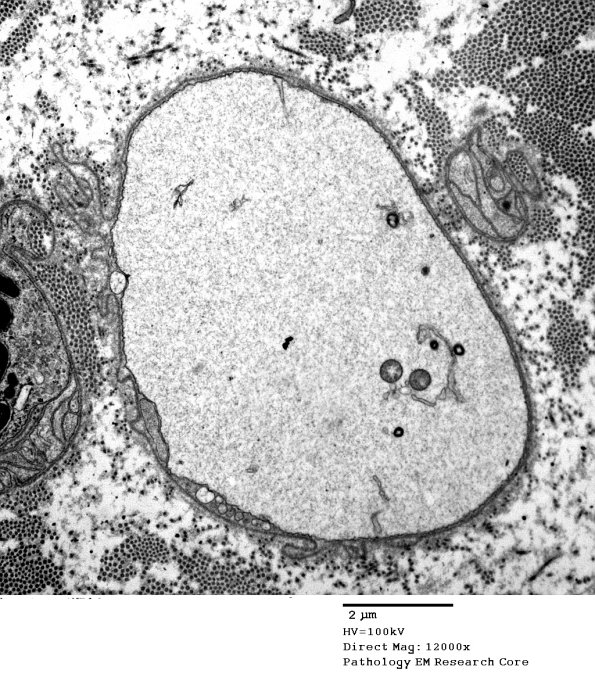
2B1,2 This structure superficially resembles a demyelinated axon although it does not have the expected axonal cytoskeleton and the company it keeps is with degenerating axons not other demyelinated/remyelinated axons. (electron micrographs)
