Table of Contents
Washington University Experience | PERIPHERAL NEUROPATHY | 0 PNS ARTIFACTS | 3A1 pseudo-demyelinated axons EM 027 - Copy
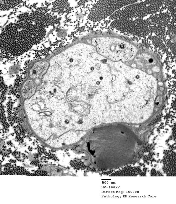
3A1,2 In this case the large structure is accompanied by small Schwann processes with a similar cytoplasmic appearance and again lacks an axonal cytoskeleton. Occasionally higher magnification examination will show endoplasmic reticulum with ribosomes. (electron micrograph)
