Table of Contents



Washington University Experience | PERIPHERAL NEUROPATHY | 0 PNS ARTIFACTS | 3A2 _030 - Copy

3A2 _030 - Copy
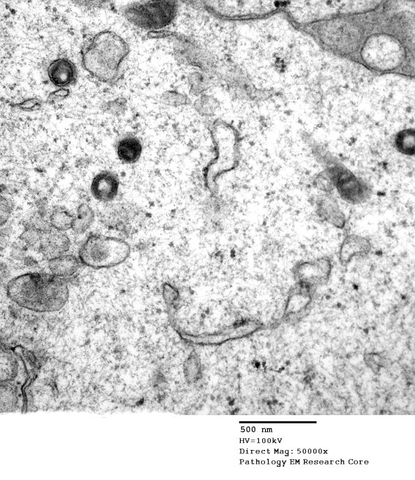
Higher magnification of image ##3A1. (electron micrograph)


Gallery RSS RSS Feed | Archive View | Login | Powered by Zenphoto