Table of Contents
Washington University Experience | PERIPHERAL NEUROPATHY | 0 PNS ARTIFACTS | 3B nerve_029 - Copy
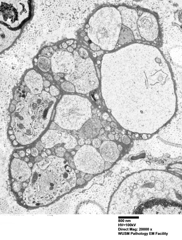
Typical demyelinated axons of this size do not usually occur with multiple accompanying vacuolated Schwann processes. The subcellular organelles are numerous in some processes and contain ribosomes. (electron micrograph)
