Table of Contents
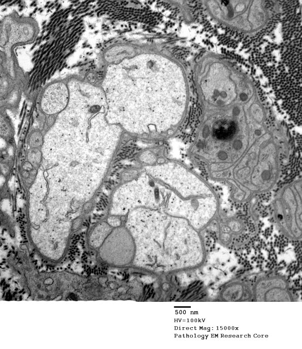
Washington University Experience | PERIPHERAL NEUROPATHY | 0 PNS ARTIFACTS | 3C Ax Degen artifact-pseudo-demyelinated axons EM 026 - Copy
Multiple pale processes without an axonal cytoskeleton are compressed Schwann processes. (electron micrograph)
