Table of Contents
Washington University Experience | PERIPHERAL NEUROPATHY | 0 PNS ARTIFACTS | 4A Artifact, Schwann cells EM 014 - Copy
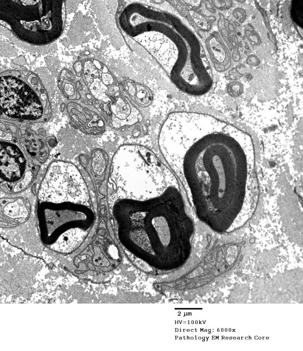
The Schwann cell cytoplasm of these degenerating myelinated axons resembles the pallor and contents of previously shown Schwann cell processes masquerading as demyelinated axons. (electron micrograph)
