Table of Contents
Washington University Experience | PERIPHERAL NEUROPATHY | 0 PNS ARTIFACTS | 4B1 Axonal artifact EM 052 - Copy
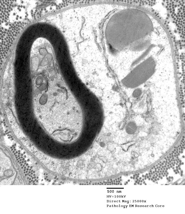
4B1,2 The pale Schwann cell cytoplasm contains pi granules and ribosome studded endoplasmic reticulum (arrow, 4B2). (electron micrographs)
