Table of Contents
Washington University Experience | PERIPHERAL NEUROPATHY | 0 PNS ARTIFACTS | 4C EM_037 - Copy
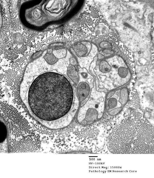
Although typically the Schwann cell cytoplasm is darker than the enclosed axons, in this case the appearance is reversed. (electron micrograph)
