Table of Contents
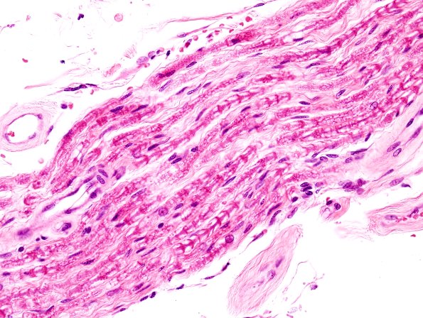
Washington University Experience | PERIPHERAL NEUROPATHY | 0 PNS ARTIFACTS | 5A Cerebroretinal Vasculopathy (CRV, TREX, HERNS) H&E 4
5A,B “Neurokeratin” artifact refers to the herringbone appearance of myelinated fibers in formalin-fixed longitudinal sections and is thought to represent autolysis. (H&E).
