Table of Contents



Washington University Experience | PERIPHERAL NEUROPATHY | 0 PNS ARTIFACTS | 5C Artifact H&E 1

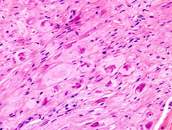
5C Artifact H&E 1
I think that this is the effect of nerve crush on the herringbone neurokeratin pattern. (H&E)


Gallery RSS RSS Feed | Archive View | Login | Powered by Zenphoto